эхо тишины
Разделы
  • Эхо тишины


Популярные посты
Блоки для записей в стильных боксах
Отель Дельфин в Джемете: идеальное место для отдыха у моря
Повседневные образы: лучшие наряды для девушек
Инновационные пособия для обучения азбуке
Сапоги для любых ног: модные решения
Главная » Эхо тишины »

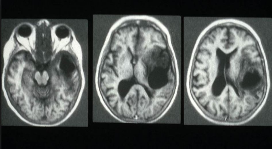
Что такое фокальная корковая дисплазия височной доли

Эхо тишины


Copyright © 2010 - 2025 | Контакты