эхо тишины
Разделы
  • Эхо тишины


Популярные посты
Спортивные достижения: Презентация по английскому языку
Что делать, если нет звука на айфоне?
Сварка стали AISI 409 аргоном: Технологии и советы
Организация сохраненных файлов: советы и рекомендации
Хронологическая последовательность ключевых событий: примеры и пояснения
Главная » Эхо тишины »

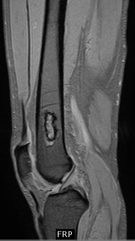
Инфаркт кости коленного сустава на МРТ: диагностика и лечение

Эхо тишины


Copyright © 2010 - 2025 | Контакты